Blog

Sağlıklı yaşam, rehabilitasyon ve fizyoterapi dünyasından güncel bilgiler.

Duruşum mu Bozuk , Yoksa Skolyoz Muyum ?
Sağlık & Rehabilitasyon

Duruşum mu Bozuk , Yoksa Skolyoz Muyum ?

Birçok insan omurgada bir sorun olduğunda hemen skolyozdan şüphelenir, ancak her omurga problemi skolyoz değildir. Duruş bozuklukları ve skolyoz, sıkça karıştırılan ancak temelde farklı nedenlere dayanan iki ayrı durumdur. Bu blog yazısında, siz değerli okuyucalarımız için bu iki durumu daha iyi anlamalarını sağlamak ve hangi durumda profesyonel yardım almanız gerektiğini açıklayarak sizleri kliniğimize davet etmek istiyoruz.Duruş Bozukluğu Nedir?Duruş bozukluğu, omurganın doğal eğriliklerinin olması gerektiği şekilde hizalanmaması durumudur. Günümüz yaşam tarzı, özellikle uzun süreli masa başı çalışma, hareketsizlik, cep telefonu kullanımı gibi nedenlerle birçok kişide duruş bozukluğuna yol açabilir. Duruş bozukluğu genellikle:Omurgada kısmi veya geçici eğrilikler,Kas zayıflıkları veya dengesizlikleri,Hatalı oturma veya ayakta durma alışkanlıkları gibi sebeplerle ortaya çıkar.Duruş bozuklukları genellikle geri döndürülebilir ve erken aşamada tedavi edilirse kalıcı hasara yol açmaz. Kifoz (kamburluk) ya da lordoz (belin aşırı içe kıvrılması) gibi durumlar duruş bozukluğunun örnekleridir.Skolyoz Nedir?Skolyoz ise omurganın yanlara doğru anormal bir eğrilik geliştirdiği, genellikle kalıcı olan daha ciddi bir rahatsızlıktır. Bu eğrilik "S" veya "C" şeklinde olabilir ve omurga sağlığı açısından daha ciddi bir durum olarak kabul edilir. Skolyoz genellikle şu belirtilerle kendini gösterir:Omuz veya kalçada asimetri (bir tarafın diğerinden daha yüksek durması),Gövdenin bir tarafa kayması,Eğildiğinizde bel veya sırt bölgesinde bir çıkıntı.Skolyozun sebebi tam olarak bilinmemekle birlikte, genetik faktörlerin etkili olabileceği düşünülmektedir. Tedavi edilmezse ilerleyebilir ve ciddi sırt ağrılarına, solunum problemlerine ve hareket kısıtlılığına yol açabilir.Duruş Bozukluğu ve Skolyoz Arasındaki FarklarGeçicilik vs. Kalıcılık: Duruş bozuklukları genellikle kötü oturma ve duruş alışkanlıkları ile ortaya çıkar ve düzenli egzersiz ve postüral farkındalık ile düzeltilebilir. Skolyoz ise kalıcı bir omurga eğriliğidir ve kendiliğinden düzelmez, profesyonel tedavi gerektirir.Hafif vs. Ciddi Eğrilikler: Duruş bozuklukları omurganın doğal eğriliğinin bozulması ile karakterize olurken, skolyozda omurga anormal bir şekilde yana doğru eğrilir.Tedavi Yöntemleri: Duruş bozukluğu genellikle egzersiz, klinik pilates, postür düzeltici cihazlar veya kayropraktik tedavi ile düzeltilebilir. Skolyozda ise fizyoterapi, Schroth terapisi gibi spesifik egzersiz programları veya ciddi vakalarda cerrahi müdahale gerekebilir.Hangi Durumda Yardım Almalısınız?Eğer postürünüzde hafif bir bozukluk hissediyorsanız ve sırt ağrıları yaşamaya başladıysanız, bu durumu düzeltmek için vakit kaybetmeden bir uzmana başvurmak önemlidir. Duruş bozukluğu zamanında müdahale edilirse skolyoza dönüşmeden düzeltilebilir. Skolyozdan şüpheleniyorsanız, omurga eğriliğinizin ilerlemesini durdurmak için bir uzmandan profesyonel destek almanız gerekebilir.Kliniğimizde Sunduğumuz HizmetlerBizimle birlikte, omurga sağlığınızı korumak ve hem duruş bozukluklarını hem de skolyoz gibi daha ciddi durumları yönetmek için profesyonel bir destek alabilirsiniz. Kliniğimizde uzman kadromuzla, duruş analizi, kayropraktik tedavi , kişiye özel egzersiz programları , Klinik Pilates , Fizyoterapi Ve Rehabilitasyon, Schroth Tedavis ile omurganızı güçlendirmek ve ağrısız bir yaşam sürmenize yardımcı oluyoruz.Sonuç OlarakDuruş bozuklukları ve skolyoz arasındaki farkları anlamak, omurga sağlığınız için doğru adımları atmanızı sağlar. Eğer bu iki durumdan herhangi birinden şüpheleniyorsanız, daha fazla bilgi almak ve değerlendirme yaptırmak için kliniğimize başvurabilirsiniz. Sağlıklı bir omurga için doğru teşhis ve tedaviye zamanında başlamak büyük önem taşır.Unutmayın, omurga sağlığınız genel sağlığınızın temelidir. Erken müdahale ile duruş bozukluklarını veya skolyozun ilerlemesini durdurabilir, yaşam kalitenizi artırabilirsiniz.Kliniğimizle iletişime geçmek ve ücretsiz duruş analizi için randevu almak için hemen bize ulaşın!

20 Sep 2024 Devamını Oku
Kifozda Schroth mu Klinik Pilates mi Postür Egzersizleri mi?
Sağlık & Rehabilitasyon

Kifozda Schroth mu Klinik Pilates mi Postür Egzersizleri mi?

Kifozda çeşitli egzersiz yöntemleri önemli bir rol oynamaktadır. Özellikle Schroth egzersizleri, postür egzersizleri ve klinik pilates, kifozun yönetiminde etkili yaklaşımlar olarak öne çıkmaktadır.Schroth Egzersizleri, kifoz tedavisinde özel bir teknik olarak kullanılır. Bu egzersizler, omurganın doğru hizalanmasını sağlamak için tasarlanmıştır. Bireyler, bu yöntemi uygulayarak omurgalarını daha sağlıklı bir pozisyona getirebilir ve kifozun etkilerini azaltabilir. Schroth yöntemi, zayıf kas gruplarını güçlendirmekle kalmaz, aynı zamanda aşırı gergin kasları da esnetir. Bu dengenin sağlanması, bireylerin günlük yaşamlarında daha iyi bir duruş sergilemelerine yardımcı olur. Ayrıca, derin nefes alma teknikleri içeren Schroth egzersizleri, göğüs kafesinin genişlemesini sağlarken akciğer fonksiyonlarını artırır.Postür Egzersizleri ise bireylerin doğru duruşu öğrenmelerine ve bu duruşu günlük hayatlarına entegre etmelerine yardımcı olur. Kifoz, sırt kaslarının dengesizliğine yol açabilir; bu nedenle, postür egzersizleri, sırt, karın ve bel kaslarını güçlendirir. Güçlü kaslar, omurganın düzgün hizalanmasını destekler ve kifozun ilerlemesini engeller. Bu egzersizler ayrıca, omurganın esnekliğini artırarak hareket kabiliyetini geliştirir ve sırt ve boyun ağrılarını hafifletmeye yardımcı olur.Klinik Pilates de kifoz tedavisinde önemli bir yer tutar. Pilates, omurgayı destekleyen kasları güçlendirmeye yönelik özel hareketler içerir. Bu yöntem, bireylerin vücut farkındalığını artırarak denge ve koordinasyonlarını geliştirir. Doğru nefes alma teknikleri de öğretildiği için, bireyler akciğer fonksiyonlarını artırabilir ve genel rahatlama sağlayabilir. Klinik pilates, bireylerin ihtiyaçlarına göre özelleştirilebilir; bu sayede, her birey kendi durumuna uygun bir tedavi süreci geçirebilir. Sonuç olarak, kifoz tedavisinde Schroth egzersizleri, postür egzersizleri ve klinik pilates, duruş düzeltme, kas güçlendirme, esneklik artırma ve ağrı yönetimi açısından büyük bir öneme sahiptir. Hepsinde temel amaç omurganın dizilimini düzelterek bu pozisyonun sürdürülmesi için kasların güçlendirilmesi , vücut farkındalığının arttırılması ve nefes egzersizleriyle doğru postürün desteklenmesidir. Bu yöntemler, bireylerin fiziksel sağlıklarını korumalarına ve yaşam kalitelerini artırmalarına yardımcı olur. Kifoz problemi yaşayan bireylerin, mümkünse bu egzersizlerin kombinasyonu olacak bir egzersiz programını uzman bir fizyoterapist eşliğinde uygulamaları, en iyi sonuçları elde etmeleri açısından kritik bir adımdır. Sağlıklı bir omurga ve daha iyi bir yaşam kalitesi için bu yöntemlerin dikkate alınması son derece önemlidir.

19 Sep 2024 Devamını Oku
Kifozda Egzersizin Yeri
Sağlık & Rehabilitasyon

Kifozda Egzersizin Yeri

Kifoz, omurganın normal eğriliğinin aşırı artmasıyla ortaya çıkan bir durumdur ve bireylerin fiziksel sağlığını önemli ölçüde etkileyebilir. Bu bağlamda egzersiz, kifoz tedavisinde kritik bir rol oynamaktadır.Egzersiz, sırt, karın ve bel kaslarını güçlendirerek omurganın desteklenmesine yardımcı olur. Güçlü kaslar, omurganın düzgün hizalanmasını sağlar ve kifozun ilerlemesini engelleyebilir. Araştırmalar, kas güçlendirme programlarının sırt ağrılarını azalttığını ve duruşu düzelttiğini göstermektedir.Ayrıca, kifoz genellikle omurgada sertliğe neden olabilir. Egzersiz, esneklik ve hareketliliği artırarak omurganın daha iyi bir pozisyonda kalmasına yardımcı olur. Özellikle omuz ve göğüs kaslarının esnekliğini artıran egzersizler, kifozun etkilerini azaltmada etkilidir.Duruş eğitimi ile birlikte yapılan egzersizler, bireylerin doğru postürü öğrenmelerine destek olur. Postür düzeltme egzersizleri, kifozun neden olduğu duruş bozukluklarını hedef alarak bireylerin günlük yaşamda daha iyi bir duruş sergilemelerini sağlar.Egzersiz ayrıca sırt ve boyun ağrısını azaltmada etkili bir yöntemdir. Düzenli fiziksel aktivite, ağrı yönetimine yardımcı olur ve bireylerin genel yaşam kalitesini artırır. Egzersiz sırasında salınan endorfinler, doğal bir ağrı kesici etkisi yaratarak bireylerin rahatlamasına katkı sağlar.Son olarak, kifozun fiziksel etkileri bireylerde psikolojik sorunlara yol açabilir. Egzersiz, stres ve kaygıyı azaltarak ruh sağlığını destekler. Araştırmalar, düzenli fiziksel aktivitenin depresyon belirtilerini azaltabileceğini ve bireylerin genel iyilik hallerini iyileştirebileceğini göstermektedir.Sonuç olarak, kifoz tedavisinde egzersiz, kas güçlendirme, esneklik artırma, postür düzeltme, ağrı yönetimi ve psikolojik destek açısından önemli bir yere sahiptir. Kifoz problemi olan bireylerin egzersiz programlarını uzman bir fizyoterapist ile birlikte planlamaları, en iyi sonuçları elde etmelerine yardımcı olacaktır. Egzersiz, bireylerin fiziksel ve psikolojik sağlığını korumada kritik bir rol oynamaktadır.

19 Sep 2024 Devamını Oku
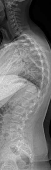
KİFOZ : Her Yaşın Problemi !
Sağlık & Rehabilitasyon

KİFOZ : Her Yaşın Problemi !

Kifoz, omurganın normal eğriliğinin aşırı artmasıyla karakterize edilen bir durumdur ve bireylerde çeşitli fiziksel ve psikolojik etkilere yol açabilir. Kifoz, duruş bozukluklarına neden olarak yuvarlak sırt görünümüne yol açar. Bu, omurganın normal hizalanmasını bozarak denge problemleri ve günlük aktivitelerde zorluklara yol açabilir.Fiziksel etkilerin yanı sıra, kifoz sırt, boyun ve omuz ağrılarına da neden olabilir. Bu ağrılar, bireylerin yaşam kalitesini düşürerek kronikleşebilir. Sürekli ağrı, bireylerin özgüvenini etkileyebilir ve toplumsal algıda olumsuz bir imaj yaratabilir.Psikolojik açıdan, kifoz nedeniyle yaşanan rahatsızlık, kaygı ve depresyon gibi sorunlara yol açabilir. Bireyler, fiziksel zorlukları nedeniyle sosyal etkinliklerden kaçınarak izole hale gelebilir. Sonuç olarak, kifoz yalnızca fiziksel bir problem değil, aynı zamanda bireylerin psikolojik ve sosyal yaşamlarını da etkileyen bir durumdur. Tedavi sürecinde çok yönlü yaklaşımlar benimsemek, bireylerin yaşam kalitelerini artırabilir. Kifoz problemi yaşayan bireylerin profesyonel yardım alarak bu etkileri azaltmaları önemlidir.

19 Sep 2024 Devamını Oku
Ön Çapraz Bağ (ACL) Cerrahisi Sonrası Spora Dönüş: Egzersizin Önemi
Sağlık & Rehabilitasyon

Ön Çapraz Bağ (ACL) Cerrahisi Sonrası Spora Dönüş: Egzersizin Önemi

ACL Rekonstrüksiyonunda Spora Dönüş: Egzersizlerin ÖnemiÖn çapraz bağ (ACL) yaralanmaları, sporcularda sıkça görülen sorunlardandır ve bu tür yaralanmalar sonrası rehabilitasyon süreci kritik bir rol oynar. ACL rekonstrüksiyonu sonrası spora dönüş, dikkatli bir planlama ve uygun egzersizlerle mümkün olmaktadır. Bu yazıda, spora dönüş egzersizlerinin içermesi gereken temel unsurları detaylandıracağız.1. Fonksiyonel Kuvvet EgzersizleriSpora dönüş sürecinde kuvvet artırıcı egzersizler oldukça önemlidir.Squat (Çömelme) Egzersizleri: Bacak kaslarını güçlendiren bu egzersiz, diz ve kalçaların stabilitesini artırır.Lunge (İlerleme) Egzersizleri: Farklı yönlerde yapılan lungelar, bacak kaslarının kuvvetini geliştirir ve dengeleri artırır.2. Denge ve Stabilite EgzersizleriDiz stabilizasyonu için denge egzersizleri kritik öneme sahiptir.Tek Ayak Üzerinde Durma: Bu basit egzersiz, dengenizi güçlendirir.Denge Tahtası Kullanımı: Denge tahtasında farklı pozisyonlarda durmak, denge ve stabiliteyi artırır.3. Koordinasyon ve Plyometrik EgzersizlerKoordinasyon ve çevikliği artırmak için yapılan egzersizler, spor aktivitelerine dönüşte önemli bir rol oynar.İleri-Geri ve Yanlara Koşu: Bu egzersizler, yön değiştirme becerisini geliştirir.Küçük Atlama Egzersizleri: Plyometrik yetenekleri artırmak için hafif yükseklikle atlamalar yapılabilir.4. Hız ve Çeviklik EgzersizleriHız ve çevikliğin artırılması, spora dönüş sürecinde kritik bir diğer unsurdur.Koni İle Yön Değiştirme: Koniler etrafında hızlı hareket etme, çevikliği artırır.Hız Merdiveni Egzersizleri: Hız merdiveninde yapılan adım kombinasyonları, hız ve koordinasyonu geliştirir.5. Spor Spesifik Hareketlerİlgili spora yönelik spesifik egzersizler, spora dönüş sürecini destekler.Sporun Temel Hareketleri: Basketbol için zıplama, futbol için top kontrolü gibi spor spesifik hareketlerin uygulanması.Simüle Edilmiş Oyun Senaryoları: Sporun içindeki durumları taklit eden egzersizler, gerçek spor ortamına daha iyi hazırlanmayı sağlar.6. Ağrı Yönetimi ve İyileşmeEgzersizlerin ardından ağrı yönetimi de önemlidir.Soğuma Egzersizleri: Kasların gevşemesi için esneme hareketleri.Buz Uygulaması: Ağrı ve şişlik için egzersiz sonrası soğuk uygulama.7. İzleme ve DeğerlendirmeRehabilitasyon sürecinin her aşamasında izleme ve değerlendirme yapılmalıdır.Düzenli Değerlendirmeler: Fiziksel terapist veya antrenör ile yapılan kontroller, iyileşme sürecini takip eder.Fonksiyonel Testler: Dönüş sürecinin her aşamasında yapılan testler, ilerlemenin izlenmesine yardımcı olur.SonuçSpora dönüş egzersizleri, ACL rekonstrüksiyonu sonrası güvenli ve etkili bir rehabilitasyon sürecinin kritik bir parçasıdır. Bu egzersizlerin doğru bir şekilde uygulanması, sporcuların güvenle ve etkin bir şekilde aktivitelere geri dönmelerini sağlar. Her bireyin ihtiyaçları farklı olduğundan, rehabilitasyon programlarının bireyselleştirilmesi büyük önem taşır. Profesyonel destek almak, en iyi sonuçları elde etmek için faydalı olacaktır. Sağlıklı ve güçlü bir dönüş için doğru adımları atmayı unutmayın!  Simonsson, R., Piussi, R., Högberg, J., Sundberg, A., & Senorski, E. H. (2024). Rehabilitation and Return to Sport After Anterior Cruciate Ligament Reconstruction. Clinics in Sports Medicine, 43(3), 513-533.

19 Sep 2024 Devamını Oku
Omurga Problemlerinde Klinik Pilates Konseptinin Yeri
Sağlık & Rehabilitasyon

Omurga Problemlerinde Klinik Pilates Konseptinin Yeri

Omurga problemlerinde klinik pilates, omurganın stabilitesini ve postürünü iyileştirmeye yardımcı olan önemli bir rehabilitasyon aracıdır. Özellikle bel, boyun ve sırt ağrıları gibi durumlarda etkili bir tedavi yöntemi olarak kullanılır. Klinik pilates, omurga hastalıklarına sahip bireylerin kas dengesizliklerini gidermek, core kaslarını (merkez kaslarını) güçlendirmek ve vücut mekaniğini düzeltmek amacıyla özel olarak tasarlanmış bir yaklaşımdır.Klinik Pilates'in Omurga Problemlerine Faydaları:Postür ve Duruş İyileşmesi:Omurga problemleri genellikle kötü postür ve kas dengesizlikleriyle ilişkilidir. Klinik pilates, omurganın düzgün hizalanmasını sağlamak ve doğru duruş alışkanlıkları kazandırmak için postüral kasları hedefler. Özellikle skolyoz gibi durumlarda, pilates egzersizleri vücut asimetrilerini düzeltmeye yardımcı olabilir.Core Kaslarının Güçlendirilmesi:Omurga sağlığının korunmasında core (karın, bel ve pelvik taban kasları) kaslarının güçlü olması büyük önem taşır. Klinik pilates, bu bölgedeki kasları kuvvetlendirerek omurgaya destek sağlar ve yüklenmeleri azaltır. Özellikle bel fıtığı gibi durumlarda core kaslarının güçlü olması ağrıyı hafifletir ve omurga üzerindeki baskıyı azaltır.Kas Dengesizliklerini Giderme:Omurga problemleri genellikle kas dengesizlikleriyle bağlantılıdır. Bir taraftaki kasların zayıf olması veya diğer taraftaki kasların aşırı aktif olması, omurgada aşırı yüklenmelere neden olabilir. Pilates, her iki taraftaki kasları eşit şekilde çalıştırarak denge sağlar.Omurga Mobilitesini ve Esnekliğini Artırma:Pilates egzersizleri, omurga hareketliliğini artırmaya yönelik esneme ve mobilizasyon egzersizleri içerir. Bu egzersizler, özellikle omurgada hareket kısıtlılığı yaşayan hastalar için faydalıdır.Yaralanma Sonrası Rehabilitasyon:Klinik pilates, omurga ameliyatı veya yaralanma sonrası rehabilitasyonun önemli bir parçası olabilir. Cerrahi sonrası hastaların omurga stabilitesini yeniden kazanmasına yardımcı olur ve yaralanma riskini azaltır.Ağrı Yönetimi:Klinik pilates, omurga problemlerine bağlı ağrıları hafifletmekte de etkilidir. Kasların güçlenmesi, omurganın desteklenmesi ve doğru hareket mekaniklerinin öğrenilmesi sayesinde ağrı şikayetleri azalabilir.Hangi Omurga Problemlerinde Kullanılır?Skolyoz: Omurga eğriliklerini düzeltmeye yönelik postüral egzersizlerle skolyoz tedavisine yardımcı olur.Bel Fıtığı ve Boyun Fıtığı: Omurgayı destekleyen kasları güçlendirerek fıtıkların oluşturduğu ağrıları hafifletebilir.Spondiloliztezis: Omurganın bir vertebrası diğerinin üzerinden kaydığında oluşan bu durumu stabilize etmek için kullanılır.Duruş Bozuklukları: Kifoz, lordoz ve düz sırt gibi duruş bozukluklarında omurgayı yeniden hizalamaya yardımcı olur.Sonuç:Klinik pilates, omurga sağlığını iyileştirmeye yönelik bilimsel bir yaklaşıma dayanır ve omurga problemleri yaşayan bireylerde etkin bir tedavi olarak kabul edilir. Bu yöntem, hastaların kaslarını güçlendirmelerine, postürlerini düzeltmelerine ve ağrılarını azaltmalarına yardımcı olarak yaşam kalitesini artırır.

19 Sep 2024 Devamını Oku
Kaç Seans Schroth Tedavisi Almalıyım ?
Sağlık & Rehabilitasyon

Kaç Seans Schroth Tedavisi Almalıyım ?

Schroth tedavisi için ideal seans sayısı, hastanın skolyoz eğriliğinin derecesine, yaşına, tedaviye verdiği yanıta ve kişisel hedeflerine bağlı olarak değişebilir. Genel olarak, Schroth terapisi, skolyozun ilerlemesini durdurmak veya eğriliği düzeltmek için uzun vadeli bir tedavi süreci gerektirir. Ancak tipik bir tedavi planı şu şekilde ilerler:1. Başlangıç Dönemi:Genellikle 5-20 seanslık bir başlangıç programı önerilir. Bu seanslar, hastanın egzersizleri öğrenmesi ve postüral farkındalık kazanması için gereklidir.İlk haftalarda genellikle daha sık seanslar yapılır. Haftada 2-3 kez olmak üzere, ortalama 10-15 seans başlangıç için yeterli olabilir.2. Ara Dönem ve Takip:Tedavinin devamında seans sıklığı azaltılabilir. Tedaviyi pekiştirmek için haftada 1 veya 2 seans yapılması yeterli olabilir.Uzmanlar, Schroth egzersizlerini günlük rutine dahil etmenin, tedavi başarısının anahtarı olduğunu belirtir. Hasta bu süreçte kendi başına egzersizleri uygulamaya devam eder ve periyodik kontroller için terapiye gelir.3. Uzun Vadeli Plan:Tedavinin uzun vadeli etkilerini koruyabilmek için birkaç aylık veya yıllık periyodik takip seansları gerekebilir. Skolyoz eğriliğinin ilerlemesini kontrol etmek ve omurganın stabilitesini sağlamak için düzenli değerlendirme seansları yapılmalıdır.4. Kişisel Farklılıklar:İleri derece skolyoz hastalarında veya ameliyat sonrası tedavi gören hastalarda daha uzun seanslar gerekebilir. Bazı hastalarda, tedaviye yaşam boyu devam etmek gerekebilir.Sonuç olarak, Schroth tedavisinde ideal seans sayısı sabit bir rakamdan ziyade kişiye özgü bir planlama gerektirir. Tedavi sürecinin etkili olabilmesi için düzenli uygulama, uzman kontrolü ve hastanın tedaviye olan uyumu çok önemlidir.

19 Sep 2024 Devamını Oku
Schroth Egzersizlerinin Postüral Ve Kozmetik Görünüm Üzerine Etkileri Nelerdir ?
Sağlık & Rehabilitasyon

Schroth Egzersizlerinin Postüral Ve Kozmetik Görünüm Üzerine Etkileri Nelerdir ?

Schroth egzersizleri, skolyoz tedavisinde omurga eğriliğinin düzeltilmesine yardımcı olmak için kullanılan, üç boyutlu bir yaklaşıma dayalı postürel egzersizlerdir. Bu egzersizler, skolyoz hastalarının omurga eğriliğini düzelterek kozmetik görünüm ve duruş üzerinde olumlu etkiler yaratır. İşte bu egzersizlerin postüral ve kozmetik görünüm üzerindeki etkilerine dair bilgiler:1. Postüral Düzelme:Schroth egzersizleri, skolyoza bağlı omurga eğriliklerini hedef alır ve omurganın doğal hizalanmasını düzeltmeye çalışır. Egzersizler sırasında uygulanan üç boyutlu hareketler ve solunum teknikleri ile omurga rotasyonu düzeltilmeye çalışılır. Bu egzersizler, kas dengesizliklerini gidermek, vücut asimetrilerini azaltmak ve omurgayı nötr bir pozisyona getirmek için kullanılır. Tedavi, özellikle skolyoza bağlı olarak omuz, sırt ve bel bölgelerindeki postür bozukluklarını düzeltmeye odaklanır.2. Kozmetik Görünüm Üzerinde Etkileri:Schroth tedavisi, sadece omurga eğriliğini değil, aynı zamanda dış görünümü de olumlu yönde etkiler. Skolyoz hastalarında omuz asimetrisi, bel çöküklüğü, gövde rotasyonu gibi deformiteler oluşabilir. Schroth egzersizleri, bu deformiteleri azaltarak kozmetik görünümün iyileştirilmesine katkı sağlar. Hastaların omuz hizası, gövde simetrisi ve genel duruşlarında önemli iyileşmeler görülür.Omuz ve Kalça Simetrisi: Skolyozda sıkça görülen omuz ve kalça asimetrisi, Schroth egzersizleri ile zaman içinde düzelmeye başlar. Özellikle kas dengesizliklerinin giderilmesiyle omuzlar ve kalçalar daha simetrik bir hale gelir.Gövde Rotasyonu Azalması: Schroth egzersizleri, skolyoza bağlı gövde rotasyonunu hedefleyerek bu deformitenin azaltılmasına katkıda bulunur. Gövdenin eğriliğe doğru olan rotasyonu egzersizlerle düzeltilmeye çalışılır ve bu da dışarıdan görünümde düzelmeye yol açar.3. Vücut Farkındalığı:Schroth egzersizleri, hastalara doğru postürü öğretirken, vücut farkındalığını artırarak skolyoz eğriliğini kötüleştiren duruş alışkanlıklarının önüne geçer. Hastalar zaman içinde daha dengeli ve doğru bir duruşa sahip olur.4. Kozmetik Tatmin:Hastalar, Schroth tedavisi sonrası kozmetik olarak daha simetrik ve düzgün bir vücuda sahip olduklarını hissederler. Bu durum, özellikle genç yaştaki skolyoz hastaları için büyük bir özgüven artışı sağlar ve tedaviye olan bağlılıklarını artırır.5. Egzersizlerin Devamlılığı:Egzersizler, düzenli yapıldığında omurga eğriliğinin ilerlemesini yavaşlatmakla kalmaz, aynı zamanda estetik görünümdeki asimetrilerin azalmasına yardımcı olur. Özellikle ergenlik dönemindeki hastalar için kozmetik görünümdeki iyileşmeler motivasyonu artırarak tedaviye olan uyumu güçlendirir.Schroth egzersizlerinin postüral ve kozmetik etkileri bilimsel çalışmalarla da desteklenmiştir. Ancak, bu etkilerin sürekliliği için egzersizlerin düzenli olarak uygulanması ve uzman gözetiminde yapılması çok önemlidir.

19 Sep 2024 Devamını Oku
Ön Çapraz Bağ (ACL) Cerrahisi Sonrası Geç Dönem Rehabilitasyon
Sağlık & Rehabilitasyon

Ön Çapraz Bağ (ACL) Cerrahisi Sonrası Geç Dönem Rehabilitasyon

ACL Rekonstrüksiyonu ve Geç Dönem Rehabilitasyon: Önemli BulgularÖn çapraz bağ (ACL) yaralanmaları, sporcular arasında yaygın bir sorun olup, bu yaralanmalar sonrasında uygulanan rehabilitasyon protokolleri, iyileşme sürecinde kritik bir rol oynamaktadır. "Late-stage rehabilitation after anterior cruciate ligament reconstruction: A multicentre randomised controlled trial (PReP)" başlıklı çalışma, bu konuda önemli bulgular sunmaktadır. PReP çalışması ve benzeri araştırmaların sonuçlarını karşılaştırarak, genel geçerli bulguları derledik.1. Gelişmiş Rehabilitasyonun EtkisiGelişmiş ve yapılandırılmış rehabilitasyon programlarının, geleneksel yöntemlere göre daha iyi sonuçlar verdiği gözlemlenmiştir. Diğer çalışmalar da, yoğun rehabilitasyonun iyileşme sürecini hızlandırdığını göstermektedir.2. Fonksiyonel İyileşmeGelişmiş rehabilitasyon gruplarında diz fonksiyonu ve hareket açıklığında belirgin iyileşmeler meydana gelmiştir. Bu bulgu, çeşitli araştırmalarda tekrarlanmaktadır ve spor aktivitelerine daha hızlı dönüşü desteklemektedir.3. Ağrı YönetimiDaha yapılandırılmış programlar, ağrıyı azaltmada daha etkili olmuştur. Erken dönemde uygulanan ağrı yönetimi ve fiziksel tedavi yöntemlerinin uzun dönemdeki ağrı düzeylerini olumlu etkilediği birçok çalışmada kanıtlanmıştır.4. Hareket AçıklığıGelişmiş rehabilitasyon, eklem hareket açıklığını artırmada etkili bulunmuştur. Bu bulgu, omuz ve diz yaralanmalarını ele alan benzer çalışmalarda da desteklenmektedir.5. Kişiye Özel YaklaşımRehabilitasyon sürecinin bireyselleştirilmesi, sonuçları olumlu yönde etkilemektedir. Hastaların ihtiyaçlarına göre özelleştirilmiş protokollerin daha etkili olduğu birçok çalışma tarafından vurgulanmaktadır.6. Psiko-sosyal DestekPsiko-sosyal faktörlerin rehabilitasyon üzerindeki etkisi göz ardı edilmemelidir. Psikolojik destek ve motivasyonun, iyileşme süreçlerine katkı sağladığı birçok araştırmada ortaya konulmuştur.7. Takip Süreleri ve Uzun Dönem EtkilerUzun dönem sonuçların değerlendirilmesi, tedavi etkinliğini anlamak için önemlidir. Çoğu çalışma, uzun dönem takiplerin yapılmasının gerekliliğini vurgulamaktadır.SonuçACL rekonstrüksiyonu sonrası geç dönem rehabilitasyonunun önemi, PReP çalışması ve diğer benzer araştırmalarla pekişmektedir. Gelişmiş rehabilitasyon stratejilerinin uygulanması, daha iyi fonksiyonel sonuçlar ve hızlı iyileşme süreçleri ile ilişkilidir. Bu noktalar, hem hastaların hem de sağlık profesyonellerinin dikkat etmesi gereken önemli unsurlardır. Sağlıklı günler dileriz!   Niederer, D., Keller, M., Schüttler, K. F., Schoepp, C., Petersen, W., Best, R., ... & Stein, T. (2024). Late-stage rehabilitation after anterior cruciate ligament reconstruction: A multicentre randomised controlled trial (PReP). Annals of Physical and Rehabilitation Medicine, 67(4), 101827. 

19 Sep 2024 Devamını Oku